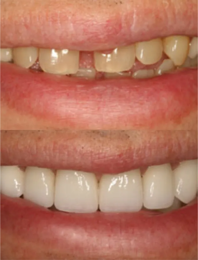
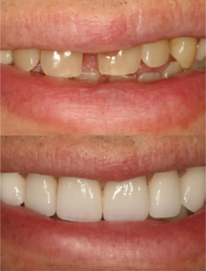
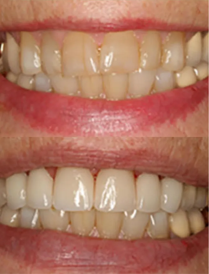
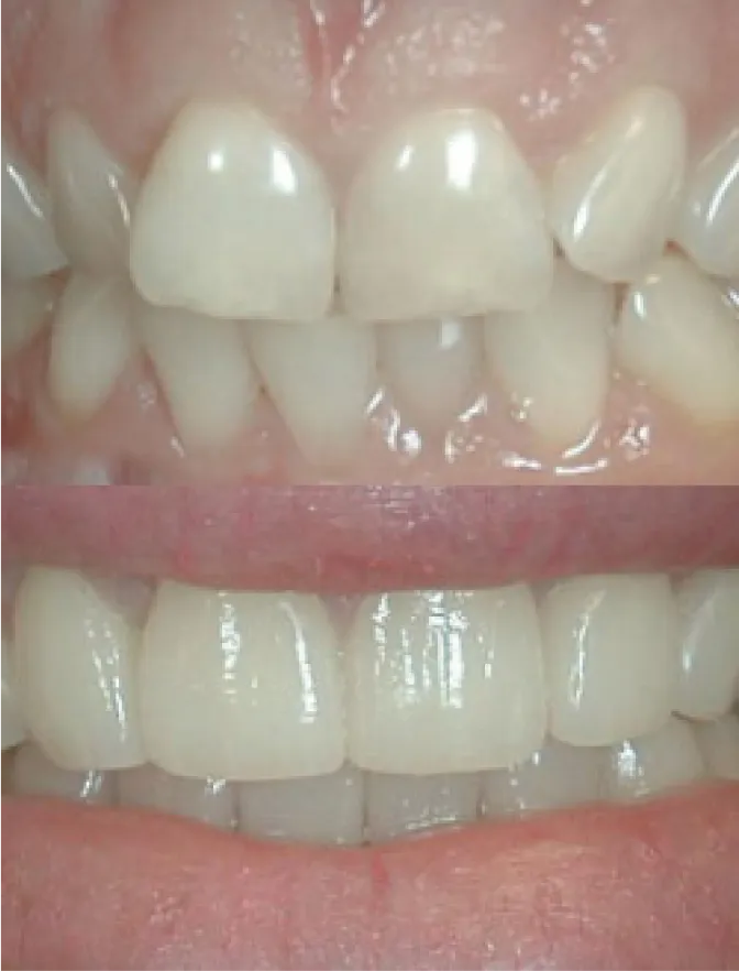
When you’re searching for a cosmetic dentist in Arlington, VA, you want someone who understands that a great smile is about more than aesthetics — it’s about confidence, health, and quality of life. At Fairlington Dental, Dr. Michael Rogers brings a uniquely personal perspective to cosmetic dentistry. Having transformed his own smile from severely damaged teeth to one he’s proud to show, he knows firsthand the life-changing impact this care can have.
Our Arlington cosmetic dentistry practice offers a full range of treatments — from Invisalign and porcelain veneers to KöR whitening and full smile makeovers — all designed around your unique goals and oral health needs. Every treatment plan is personalized, precise, and performed with the kind of compassion that only comes from someone who’s been in the patient’s chair.
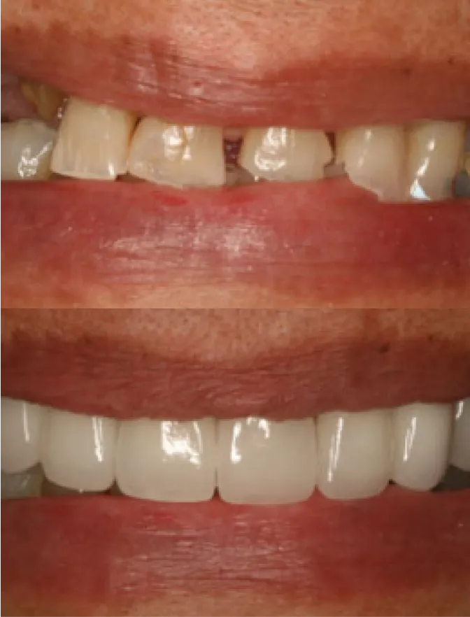
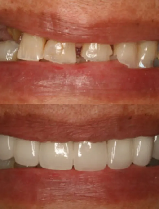
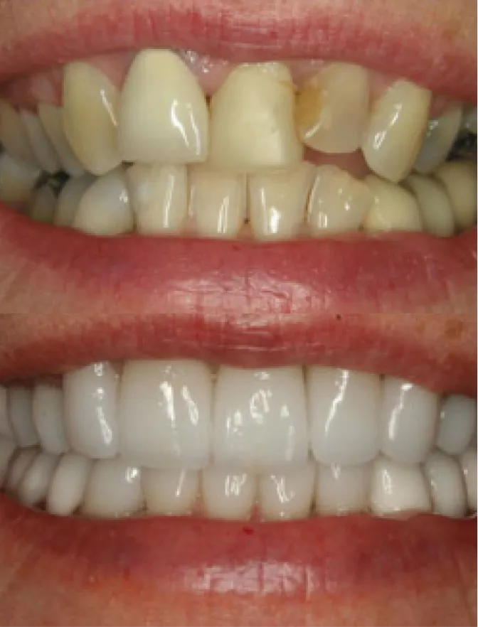
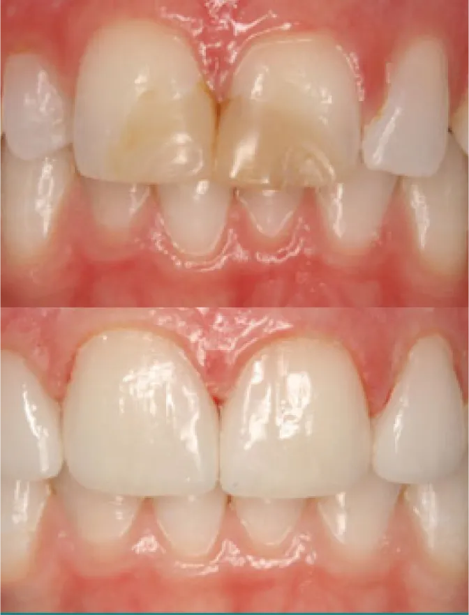
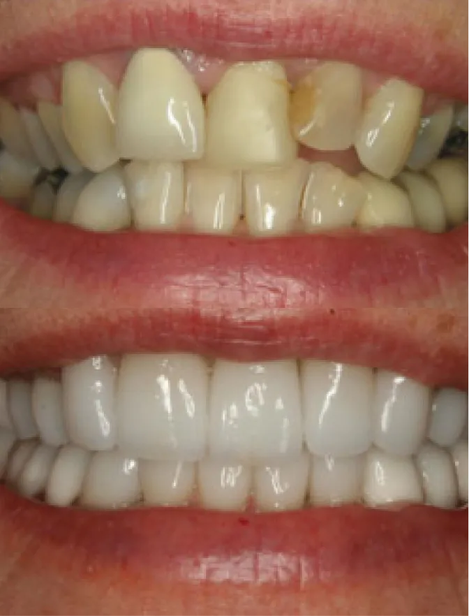
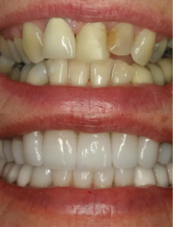
Dr. Rogers’ path to becoming one of Arlington’s most trusted cosmetic dentists started not in dental school — but in the patient’s chair. He grew up with severely underdeveloped enamel that left his teeth looking like little more than brown stumps. He hid his smile for years, feeling the weight of that insecurity every single day.
The right cosmetic dental care changed everything. His transformation wasn’t just physical — it unlocked a confidence he’d never had before. He finally laughed freely, spoke without covering his mouth, and stopped holding back in social situations.
That experience is the foundation of everything Dr. Rogers does at Fairlington Dental. He understands, on a deeply personal level, exactly what it means to reclaim your smile — and he brings that empathy to every Arlington patient who walks through the door.
Virtually invisible clear aligners that straighten your teeth discreetly — no wires, no brackets. We use 3D imaging to customize every Invisalign and Spark plan for a precise, comfortable fit.
Learn More About Invisalign in Arlington
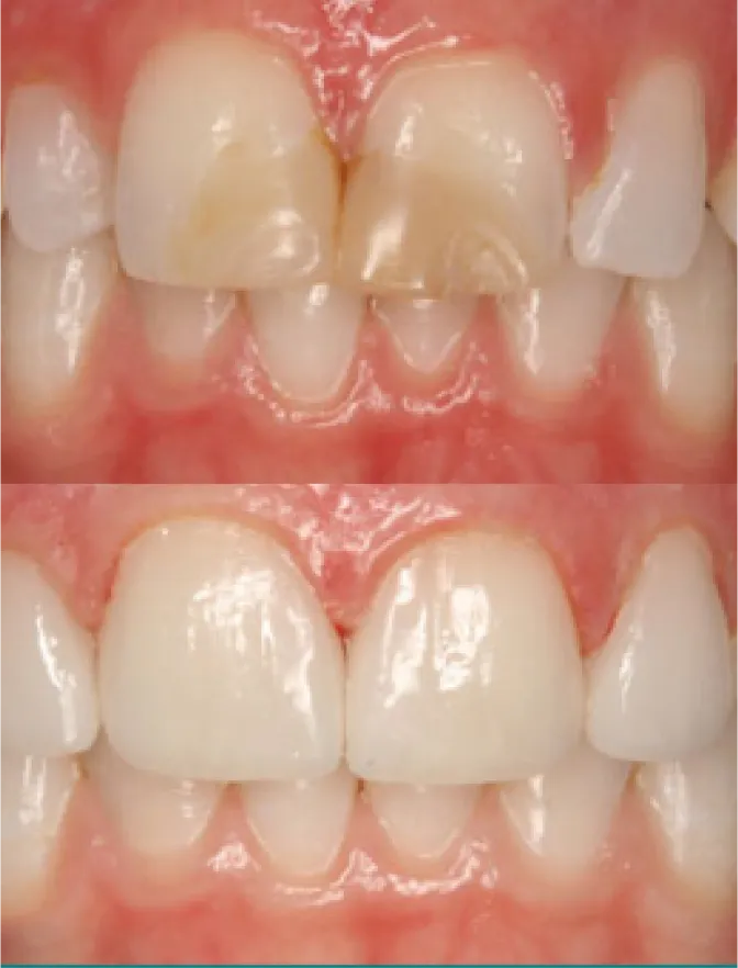
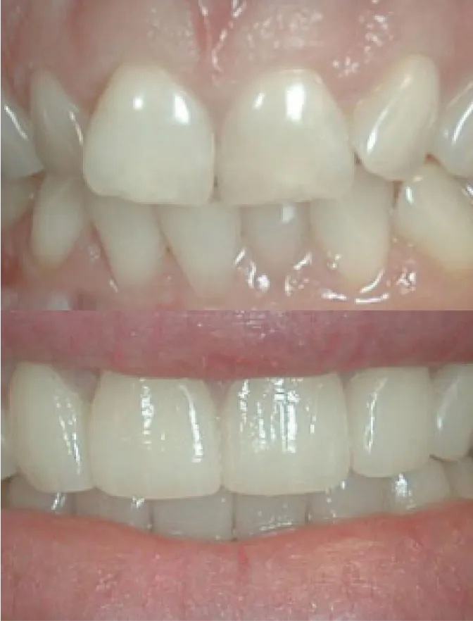
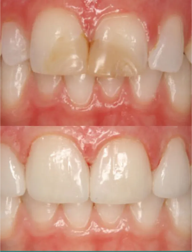
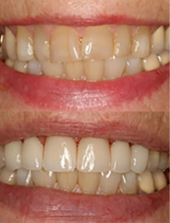
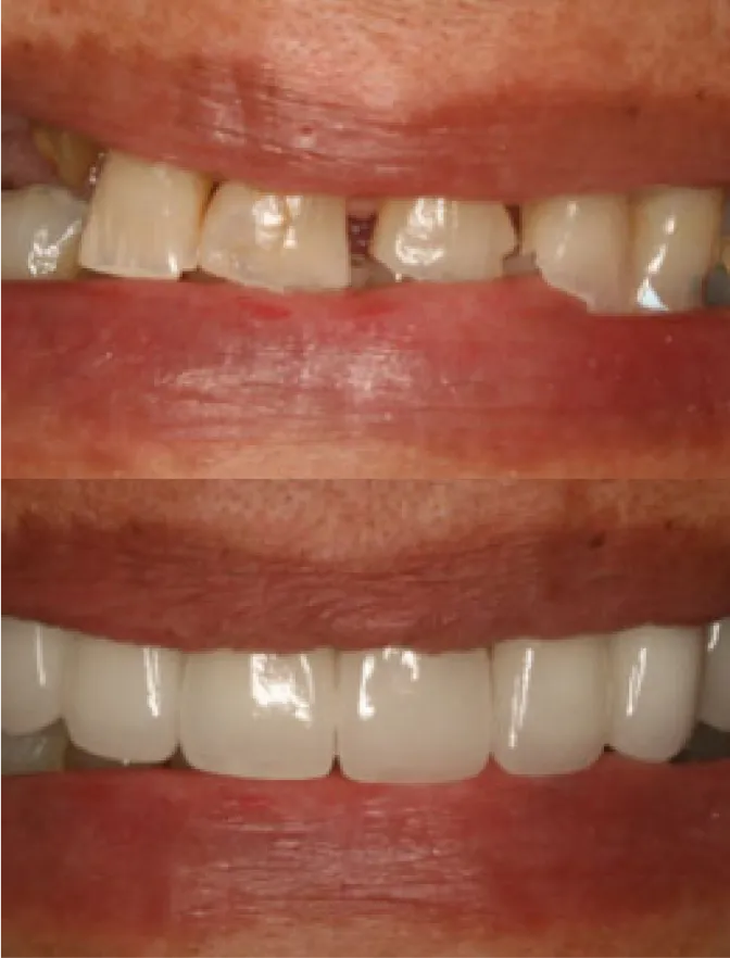
Porcelain veneers are ultra-thin shells that instantly correct discoloration, chips, gaps, and misalignment. Our Instant Orthodontics approach delivers a complete smile transformation in just a few visits.
Professional-grade whitening that tackles even the most stubborn stains — including tetracycline discoloration other systems can’t touch. Natural-looking results, minimal sensitivity.
Learn More About KöR Whitening
High-quality, tooth-colored crowns that restore the strength, shape, and appearance of damaged teeth — crafted to blend seamlessly with your natural smile.
A custom-crafted dental bridge replaces one or more missing teeth, restoring your complete smile and preventing the bone loss and shifting that missing teeth can cause.
A completely personalized plan — designed by Dr. Rogers — that combines multiple cosmetic treatments to address every aspect of your smile’s appearance and function.






There’s no shortage of cosmetic dentists in the Arlington and Northern Virginia area — so why do patients choose Fairlington Dental? A few reasons stand out:
Your journey to a confident, beautiful smile starts with a conversation. Fairlington Dental offers complimentary cosmetic consultations for Arlington patients — no pressure, no commitment, just a clear picture of what’s possible for your smile.
Call us at (703) 671-1001 or book online today. Our Arlington office is open Monday through Thursday, 7:00 a.m. to 3:30 p.m.
We are continuously working to improve the accessibility of content on our website, but please do not hesitate to contact us if you have any questions or require assistance.
If you have trouble seeing web pages, the US Social Security Administration may have resources that will help you. You can also use the Accessibility features of your computer and/or software to:
– Use the keyboard to navigate screens
– Increase text size
– Magnify your screen
– Change background and text colors
– Make your mouse pointer more visible
If you are looking for mouse and keyboard alternatives, speech recognition software such as Dragon Naturally Speaking may help you navigate web pages and online services. This software allows the user to move focus around a web page or application screen through voice controls.
What information do we collect?
When ordering or registering on our site, as appropriate, you may be asked to enter your name, address, e-mail address, or phone number. You may, however, visit our site anonymously.
What do we use your information for?
Any of the information we collect from you may be used in one of the following ways:
To improve customer service (Your information helps us to more effectively respond to your customer service requests and support needs.)
To process transactions (Your information, whether public or private, will not be sold, exchanged, transferred, or given to any other company for any reason whatsoever, without your consent, other than for the express purpose of delivering the purchased product or service requested.)
To administer a contest, promotion, survey or other site feature
How do we protect your information?
We implement a variety of security measures to maintain the safety of your personal information when you place an order or enter, submit, or access your personal information.
Do we use cookies?
We do not use cookies.
Do we disclose any information to outside parties?
We do not sell, trade, or otherwise transfer to outside parties your personally identifiable information. This does not include trusted third parties who assist us in operating our website, conducting our business, or servicing you, so long as those parties agree to keep this information confidential. We may also release your information when we believe release is appropriate to comply with the law, enforce our site policies, or protect our or others rights, property, or safety. However, non-personally identifiable visitor information may be provided to other parties for marketing, advertising, or other uses.
Third Party Links
Occasionally, at our discretion, we may include or offer third party products or services on our website. These third party sites have separate and independent privacy policies. We therefore have no responsibility or liability for the content and activities of these linked sites. Nonetheless, we seek to protect the integrity of our site and welcome any feedback about these sites.
Online Privacy Policy Only
This online privacy policy applies only to information collected through our website and not to information collected offline.
Your Consent
By using our site, you consent to our privacy policy.
Changes to Our Privacy Policy
If we decide to change our privacy policy, we will post those changes on this page.
Contacting Us
If there are any questions regarding this privacy policy you may contact us using the information below.